11 99983-2698

Academia de Excelência Clínica Odontológica

ecoacademy_

11 99983-2698

ecoacademy_

Academia de Excelência Clínica Odontológica
ECO Academy

Sua Conta

Carrinho

DME

Deep Margin Elevation

com Gustavo Escudeiro

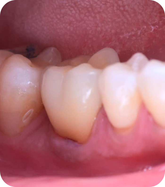
Desmistificando as restaurações subgengivais

ECO Online

VOCÊ TEM DIFICULDADES COM RESTAURAÇÕES SUBGENGIVAIS?

Você não está sozinho(a)!

Muitos profissionais travam quando se deparam com margens profundas, sem previsibilidade adesiva, dificuldade de isolamento e risco de falhas estéticas e funcionais.

Chegou a hora de descomplicar o Deep Margin Elevation e transformar esses casos em soluções conservadoras, modernas e previsíveis.

Bônus Exclusivos

para os 20 primeiros inscritos

Além de todo o conteúdo do curso, os 20 primeiros inscritos vão ganhar:

  • Mentoria online exclusiva de 40 minutos com o Dr. Gustavo Escudeiro

  • Oportunidade de tirar dúvidas diretamente com o professor

  • Discussão de casos clínicos

  • Orientações práticas personalizadas

EXCLUSIVO para os 20 primeiros inscritos

Investimento

PARCELADO

12x de

R$ 41,06

À VISTA

R$ 397,00

Você economiza R$ 95,72

Leonardo Buso

Para quem

é o curso?:

ECO Academy

Dentistas recém-formados que querem segurança em casos complexos

ECO Academy

Clínicos gerais que desejam oferecer soluções conservadoras e previsíveis

ECO Academy

Especialistas que buscam atualização em protocolos restauradores modernos

ECO Academy

Qualquer profissional que já enfrentou desafios em margens subgengivais.

Programação

O QUE VOCÊ VAI APRENDER?

Filosofia de trabalho restaurador
Análise estrutural do elemento dental
Análise oclusal aplicada à prática clínica
Adesão: limpeza e preparo da cavidade

      • Parte 01: Limpeza de cavidade

      • Parte 02: O que é adesão em Odontologia

      • Parte 03: Gerações de adesivos e Immediate Dentin Sealing

      • Parte 04: Resumo de Total-Etch e Self-Etch

      • Parte 05: Resin Coating

Casos clínicos de DME
Importância da Dentística na Endodontia
Fotopolimerização
Inserção de material restaurador

Técnica completa de Deep Margin Elevation (DME)
Restauração Classe 2 na prática

Bônus Exclusivo
Anatomia de dentes posteriores – conteúdo extra para aprofundar sua prática clínica

DIFERENCIAIS DO CURSO

Conteúdo direto ao ponto, sem enrolação.

Aulas práticas com demonstrações passo a passo.

Plataforma 100% online – estude onde e quando quiser.

Acesso vitalício.

Suporte para dúvidas

Garantia e Segurança

7 Dias de Garantia Incondicional: Se não se adaptar ao curso, devolvemos seu investimento sem burocracia!

Compra 100% Segura: Plataforma confiável e acesso imediato ao conteúdo.

Acesso imediato na plataforma confiável.

Vagas Limitadas

E Bônus Exclusivos só para os 20 primeiros inscritos!

Dê um salto na sua carreira e alcance um novo patamar.
ECO Online
Whatsapp